A Science-based Sustainability Goal
5 new instruments designed to enhance the adaptability of clear aligners
Interview with Dr. Dana Adyani-Fard, Germany
What are the most important properties of a flowable composite used for the flowable injection technique? Personal experience shows that balanced optical properties are essential, with an appropriate translucency, blend-in ability and surface gloss leading the way. However, the mechanical properties are also important, not least because the restorative material will be in direct contact with the antagonist teeth. And finally, handling properties are essential: The right level of flowability is needed for proper injection, while a void-free application is required for an intact, stainresistant surface.
The name of the game in modern-day esthetic and restorative dentistry is that of Responsible Esthetics. Anterior teeth can be affected by enamel and dentin dysplasia, caries and sclerotic conditions and are characterized by a laundry list of genetically-derived and environmentally-acquired conditions with an esthetic deficit that often threaten an individual’s functional and psychosocial integrity if not restored to the seamless picture of health.
As curing light technology improves, dentists are consistently sold on irradiance (mw per cm2) as being the defining factor in beam effectiveness. While there is no doubt irradiance adds value, it does not tell the full story of how well a light will cure various materials. Irradiance tests typically only show the irradiance of a very small portion of the light. Measuring the power distributed over the entire beam tells a more comprehensive story of its curing capabilities.
Many people find it difficult to establish a daily habit of cleaning between the teeth. TePe EasyFit™ is designed to lower the barriers and make it easier to start with interdental cleaning. Developed through extensive consumer research and tested by dental professionals across several countries, TePe EasyFit offers a simple, effective solution for patients who currently use floss, picks or interdental brushes only occasionally, or who lack motivation to begin using cylindrical interdental brushes daily at home.
Opening an IMS™ Cassette in your practice makes a statement and tells your story. Adopting the Instrument Management System communicates that your practice is dedicated to improving efficiency, safety, compliance, organization, standardization, instrument protection, and more.
IMS is the helping hand that improves the flow of the facility, which allows the sterilization area to run more efficiently and clinicians to focus on providing Best in Practice levels of care.
This Dental Hygiene Month, we celebrate 80 years of the Gracey Curette: a revolutionary instrument that transformed dental hygiene. Since its introduction in 1945, it has expanded into a family of designs that continues to improve patient outcomes and hygienist ergonomics.
Instrument Management System
A 2004 study showed that patients judge their dental practitioner first and foremost on their skill in giving pain-free injections. Injections do not have to be something to fear – on the contrary, they can be the first step in a relationship of trust with the practitioner.
What happened in a Queens pharmacy in 1932? In 1932, during the Great Depression, Henry Schein kept a simple notebook behind the counter of his small New York pharmacy, recording the names of customers who could not afford their medicines. That quiet act of trust shaped a company that, nearly a century later, still puts long-term relationships at the centre of everything it does.
BioHorizons has introduced a new implant system that combines the advanced thread design of the Tapered Pro with the precision and stability of the Conelog conical connection. This integration delivers enhanced surgical handling, improved primary stability, and long-term biological benefits, supporting better patient outcomes in both aesthetic and functional zones.
This case was performed by Dr Homa Zadeh, DDS, PhD, a respected leader in periodontology and implant dentistry. Dr Zadeh's approach emphasizes biologically driven protocols and evidence-based techniques, making this case a strong example of clinical excellence using the Tapered Pro Conical system. It involves the replacement of two front anterior teeth after they fractured off and the full restoration process.
Resin infiltration into the dentine surface is more effective on freshly cut dentine because it is uncontaminated and clean. Immedciate Dentine Sealing protects dentine against contamination with bacteria or remnants of temporary cements. It prevents post-operative sensitivity by sealing dentine tubules.
With the release of AS 5369:2023, functionality and routine testing of sterilisation processes have become highly topical for dental practices. Ensuring that steam reaches every surface of an instrument is critical for patient safety. This article briefly outlines the principles of air removal and steam penetration and explains how routine monitoring with a Process Challenge
Device (PCD) helps meet the requirements of the new standard.
Deep margin elevation will make the impression easier by moving the proximal argin of the restoration supra-gingivally, whic is especially important for intra-oral scanning. It helps in avoiding periodontal surgical procedures.
In modern dentistry, efficiency and reliability are key elements for many practices. CLEARFIL™ Universal Bond Quick 2 offers a low effort, high-performance bonding solution providing exceptional results. With its Advanced Rapid Bond Technology, this adhesive allows for quick and easy application, eliminating unnecessary steps and reducing technical sensitivity.
Choosing Your Local Anaesthetic: Options To Manage Young Patients' Pain. This first article explores the chemical properties of local anaesthetic and how these properties could determine which local anaesthetic is best suited for the patient and the procedure.
This case study presents the clinical management of a patient who presented with an existing failed anterior composite, requiring a Class IV direct composite replacement.
Reducing single-use plastic and material waste in dental procedures is an important step toward greener practice management. With products like EQUIA Forte HT, clinicians can maintain high standards of care while contributing to a more sustainable future.
Celebrating 80 Years of the Revolutionary Gracey Curette! This Dental Hygiene Month, we celebrate 80 years of the Gracey Curette: a revolutionary instrument that transformed dental hygiene.
Evolution of Implantology with BioHorizons™ Tapered Pro design and Camlog™ proven deep conical connection. BioHorizons™ and Camlog™, leaders in dental implant solutions across the American and European markets, merged in 2017. This strategic unification was designed to provide dental practitioners with a comprehensive portfolio of implant systems, regenerative materials, and prosthetic components all under one umbrella. As a result of this, it has facilitated the creation of a new dental implant combining the best of both systems - the implant thread of the Tapered Pro, and the proven deep conical connection.
Regular dental prophylaxis protects our patients from diseases of the dental hard substances and of the soft tissue. Professional cleaning prevents tooth decay, gingivitis and periodontitis. For this reason, children should undergo regular dental cleaning. Since “practice makes perfect”, dentists can begin with dental cleaning in a playful manner in patients as young as five years old or even younger.
Peter Drucker, the renowned management consultant, once famously said that "you can't improve what you don't measure".1 This statement rings true for any habit we have in life, whether consciously or unconsciously. When considering habits that maintain good oral health, we as dental professionals know all too well that brushing and flossing the teeth twice daily is the key. When establishing these habits however, a reliable tracking system is required to reinforce the habit long enough for it to become second nature.
The world's first resin-reinforced glass ionomer has remained the benchmark* for light-cured glass ionomer cements, delivering more than 30 years of exceptional performance to clinicians around the world.
Even though dentistry is nowadays focusing more and more on prevention, there is still a considerable amount of patients with extensive caries lesions in need of endodontic treatment. When the damage has already occurred, it's important to treat the lesion in a minimally invasive way. Preserving the cervical dentine is of utmost importance here, as maintaining a ferrule is necessary for a good prognosis of the restorative treatment.
Charles Sturt University recently upgraded the dental units at one of their clinics, significantly enhancing clinical training for students and dental care services for the local community. The decision to choose Planmeca was heavily influenced by their experiences with the previous units and the exceptional service received. Initial feedback on the new units has been overwhelmingly positive – from staff, students, and patients.
Selecting an appropriate detergent for cleaning reusable medical devices (RMDs) in a dental practice is more than just a matter of preference—it’s a critical step in ensuring patient safety, instrument longevity, and regulatory compliance. A well-informed decision should be based on a risk assessment, as guided by AS 5369:2023, which is the Australian Standard for the reprocessing of reusable medical devices. This involves evaluating the potential risks associated with inadequate cleaning and selecting products and processes that mitigate those risks.
What criteria do you utilize when deciding to replace a scaler? The condition of the working end? Broken blades? Your curettes have become sickles from an incorrect sharpening technique or the knowledge of the physical and often irreversible effects on your body when using a scaler that is past its ‘use by’ date? What about the consequences of using a compromised scaler on a patient? Do these facts affect your decision on when to replace?
Let’s face it: gloves may not be the most exciting item on your clinic supply list, but they’re among the most critical. As infection control remains a top priority in every dental practice, more and more clinics are re-evaluating what they put on their hands every day. The result? A noticeable shift away from latex gloves and toward nitrile.
KaVo is expanding its family of red high-speed contra-angles with the new MASTERmatic LUX M45 L. KaVo completes the successful portfolio of its red high-speed contra-angles, and these precision instruments marked with a red ring are the power players in everyday practice: they reach the highest speeds and reliably withstand extreme loads - both during use and subsequent reprocessing.
For Dr. Adriano Azaripour, instruments play an essential role in his surgical and periodontal work at the University of Mainz and in his practice in Bad Soden. Function and feel must form a unified whole. Using a patient case, he describes his high standards for his bur portfolio.
Zirconia is fast becoming the affordable aesthetic material of choice [1, 2]. The yttria-stabilised tetragonal zirconia polycrystals promote high mechanical strength and fracture resistance with optimal marginal fit to reduce microleakage [1, 3, 4]. Yet, many clinicians are challenged to achieve an optimal bond to Zirconia [3, 5]. This challenge can be overcome with novel material developments and advances in materials research and design [1, 5-7]. Here are five clinical tips to enhance your zirconia bonding, streamline your practice, improve your clinical outcomes and keep your patients happy.
The advent of adhesive dentistry and development of the latest generation composite resins have transformed the way to deal with restorative treatments for back teeth. Recent evidence highlights success rates of 82% to 90% after 10 years, comparable in terms of longevity to amalgam restorations. However, it is sensitive technique and entails performing a large number of steps. Against this backdrop, the development of photoreactive bulk-fill composites is an interesting way to make the process easier.
It's a free online resource for dental practitioners and team members developed to streamline and simplify your access to all GC products. Find product information, instructions for use, technique guides, videos, sales specialist contact information and product ordering all in one place.
Developed to support acid neutralisation and remineralisation, these products help to prevent tooth decay, erosion, and reduce dentine hypersensitivity, making them an optimal choice for patients wanting to maintain strong, healthy teeth.
You don’t have to be a practice owner to champion sustainability. Remember to promote the environmental benefits of prevention, deliver durable dental interventions, unite to mitigate waste, adapt evidence based sustainable practices and champion sustainability in your practice.
Interdental brushes are the most effective tools for cleaning between teeth, especially for patients with spaces or periodontal disease. Share your knowledge with your patients and allow them to try different interdental brush options available. Patients are more likely to use the brush daily if they can choose the brushes themselves.
A recent study that examined the environmental impacts of dental restoratives found that over 95% of the GWP in terms of kg CO2 produced for glass ionomer cements (GIC) was largely accounted for in the process for creating the packaging for the restoratives
The Carriere Motion 3D Appliance is the recipient of the 2021 Orthotown Townie Choice Award, and the Carriere Motion 3D Clear Appliance earned the Gold Delta Design Award from the ADI-FAD. Recognized for its aesthetic design, the Carriere Motion 3D for Class III correction is on permanent display at the Barcelona Museum of Design. Dr. Carrière is the inventor of the Carriere Motion 3D Appliance for both Class II and Class III correction, as well as Carriere SLX 3D7 Self-Ligating Brackets. Inventor, educator and practicing orthodontist, Dr. Carrière speaks about the development of the Motion 3D Appliance and the reasons behind its wide acceptance.
If you were to pick up a tube of toothpaste, would you know what each of the ingredients are and what they do? This article will give you a quick 101 on what you will find in toothpaste, to help you find your patients the right toothpaste for them.
Batch Control Identification (BCI), also referred to as instrument tracking, is the process of assigning the steam steriliser’s cycle details to a ‘batch’ or group of packaged reusable medical devices (RMDs). This creates a definitive link between 1. the patient, and 2. the sterilised RMDs used on said patient in the procedure and offers sound evidence that the RMDs used came from a successful steam sterilising process.
Modifying composite restorations can be easy – provided that appropriate materials and techniques are used. One of the key elements on the path to success is the selection of a suitable adhesive system, preferably a universal single-bottle adhesive like CLEARFIL™ Universal Bond Quick, which allows for streamlined procedures and supports excellent outcomes
As dental professionals, we are very attuned to understanding how dental plaque and biofilms contribute to dental diseases. However, one area that is still being understood better is the role of the oral microbiome and how it supports the natural functions of the oral cavity. This article I have written for Colgate Palmolive breaks down what the oral microbiome is and why it plays a pivotal role in helping our patients optimise their oral health.
Can giving an injection actually hurt YOU more than it does your patient? From Surgeries to Arthritis to Carpal Tunnel, the sheer weight of the manual syringe and it’s limitations of use will take a toll over a career, as practitioners “push and pull” using this older anesthetic administration method.
Clear aligner therapy has been shown to be effective in resolving mild to moderate malocclusions, with shorter treatment and less chairtime compared to conventional systems¹. To overcome some of the aligners’ biomechanical limitations while still enabling aesthetic treatment of more complex clinical conditions, clear aligners can be combined with various types of auxiliaries2-4. Let’s look at the case of an 14-year-old male patient with Class II relationship on right and edge-to-edge relationship on left before treatment.
Dental amalgam has been used for the restoration of Class I and Class II cavities for many years. However, concerns about its lack of aesthetics, health and environmental issues have led to an increase in demand for tooth coloured restorations in the posterior region. Resin composite offers the opportunity for clinicians to provide both aesthetic and conservative restorations that are sealed to the underlying tooth. This case demonstrates the replacement of a defective amalgam restoration using BRILLIANT EverGlow (COLTENE), which is a universal submicron hybrid composite that can be used for both anterior and posterior restorations.
In mid-2023, leading up to and then following the release in December 2023 of the new Australian Standard 5369 on reprocessing reusable medical devices, I had been working on updating the ADA’s Infection Prevention and Control Guidelines for what would become their May 2024 fifth edition. This was part of my role of serving as the editor of those Guidelines, something I have done since 2010. Given that the new standard placed considerable role on local facility risk assessments, I had been undertaking some deep analysis work to identify areas of failure that could occur in a dental practice that was reprocessing instruments on site. From looking at the literature and also from reviewing my own experience auditing dental practices, it became clear that the topic of ultrasonic cleaning was not as well understood by end users as it should be. It is also one where I felt that there was considerable work yet to do.
More than 50% of handpiece and contra-angle failures are caused byimproper cleaning and care. With afew tips from us, you will be able to extend the service life of your KaVo instruments and avoid the most common defects.
The delivery of quality dental treatment relies heavily on the ability to prevent and relief pain. Controlling pain is critical to successful dental treatment. Fortunately, there are several pain scales that can be used with children to estimate the intensity and severity of the pain.
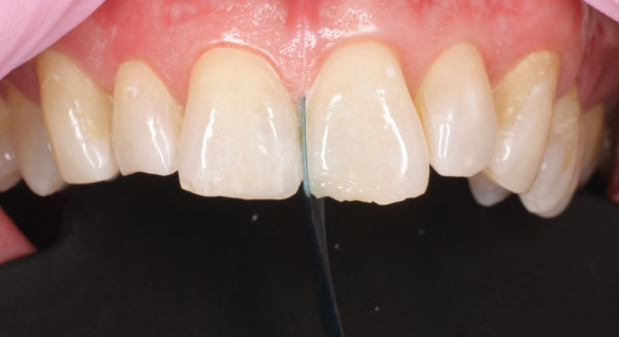
A 43-year old male patient spontaneously attended our practice with Ellis II fractures of the two central incisors after biting on a peach stone (Fig. 1). As the patient works as a consultant and had a job-related appointment the same day, he demanded swift and immediate esthetic rehabilitation.
Morita released the Torqtech Red Band Ultra Mini Handpiece in October 2022 in response to requests from many dentists. This product was finally developed despite many difficulties through the high technological skills and persistent creative efforts of engineers at J. MORITA MFG. CORP. 12 years after the first release of the Torqtech series. We interviewed Mr. Hitoshi Tanaka, one of the engineers at J. MORITA MFG. CORP., for his insight into the development of the Torqtech Red Band Handpiece in Part 1 and the Torqtech Red Band Ultra Mini Handpiece in Part 2.
Cancer. A word we’re all familiar with, a thought not so pleasing, and a community crisis that needs greater public awareness. So, how do we achieve this?
Many of our ageing patients are motivated to maintain long-lasting smiles that are both aesthetic and functional. But what happens to our teeth as we age? And what can you do to help your patient's smile last the distance?
The combination of modern nanohybrid composites and adhesive systems makes it possible to directly restore almost any tooth, preserving it with minimal invasiveness. However, if the tooth structure defect is so significant that it is not possible to establish sufficient proximal contact
directly or if the functional design of the occlusal surface and cusps can only be achieved sub-optimally, a direct adhesive restoration is no longer the best treatment option. For these cases, indirect, adhesive tooth-coloured restorations such as ceramic inlays, onlays, and crowns are an ideal solution.
The everyday practice of adhesive restorative dentistry, whether utilizing direct or indirect restorations, is fraught with the need for ideal environmental conditions to generate an optimal prognosis. This report details the use of a novel solution for debrding both indirect restorative and tooth intaglio with a 10-MDP salt-based solution that has the flexibility to be used both extraorally and intraorally.
The commercial offer for bioceramic bone substitutes is very large, however, the prerequisites for applications in bone reconstruction and tissue engineering, are most often absent. A new goal is to develop a bone regenerative medicine approach, where cell suspensions and/or osteoinductive agents are implanted in association with suitable advanced scaffolds to trigger endogenous regenerative processes of bone and not only to directly repair injured tissues.
Novapharm has been a research leader in the use of enzyme detergent medical instrument reprocessing for 3 decades. The last 15 years has seen an almost total replacement of the old style alkaline detergents by near neutral enzyme detergent formulations which have proven to be safer, more efficacious, more cost effective and more instrument compatible.
In the rapidly advancing field of dental surgery, ensuring patient safety, comfort, and optimal clinical outcomes is a priority for any modern dental practice. One technology that is making a significant impact in achieving these goals is piezotome technology, such as the Acteon CUBE. For NZ dental practices, adopting this innovation could elevate the standard of care across a range of procedures, including bone surgeries, extractions, sinus lifts, crest splitting, and crown extensions.
MI Varnish™ features a hydrogenated rosin matrix that ensures high fluoride, calcium and phosphate ions availability, combined with translucency and exceptional durability. This enhanced formulation means MI Varnish™ can provide exceptional protection from dentine hypersensitivity.
Beaconsfield Dental, a modern purpose-built dental clinic in the suburb of Berwick, has been at the forefront of sustainability, technology, and accessibility since it was built in 2013.
For hygienists, a crucial part of effective patient treatment is to examine your tools.This prevents you from discovering issues before they need to be addressed. The last thing you need is tools that cause your patients discomfort and slow down the flow of your work. Invest time to make sure you have the right instruments in your set-up, that they’re in good condition – and if not – that you can sharpen or replace them right away.
Many disposable glove manufacturers claim to sell biodegradable nitrile gloves, but those claims are often false. The first step to understanding why is to clarify the difference between degradation, biodegradation and composting.
The dental syringe you are using today dates to the 1850’s. I ask you what other instruments in your armamentarium dates to the turn-of-the-century? We have entered the age of digital dentistry. Everything from radiographs to impressions are performed with micro-processor driven technologies and for good reason. It introduces precision, ease-of-use, and a better way to control variables for a given task. That is exactly what a computer-controlled Local Anesthetic delivery (C-CLAD) device can do for you when performing a dental injection for your patients.
Undeniably, dentists who can provide informed pain management are highly sought after. Because pain is complex and specific to each person, there is no easy solution. Your goal is to create a sustainable and pleasant relationship with your patient through optimal care. We’ll see that many prejudices can hinder effective treatment, however some new approaches can support you in your daily practice. Today, pain management is not only drug-based, it strongly involves the way you communicate.
Oral health not only refers to the absence of dental diseases but its contribution to general well-being and quality of life (QoL), which is more difficult to achieve with advancing age (Lamster and Northridge, 2008). Learning about the characteristics of this population can give helpful insights into oral health care for the elderly and how to modify approaches to suit individual needs.
The new Signo T100 is based on a clear architectural structure evolving from the Signo T500 premium model with an individual pantograph lifting mechanism seat design. The new Signo T100 represents an uncompromised result of the Morita DNA.
A pilot study to compare the aerosol and spatter reduction efficacy of various hands-free high-volume evacuation (HVE) systems during an ultrasonic scaling procedure.
Zirconia is a popular restorative material with highly beneficial mechanical and meanwhile also optical properties. Due to long processing times, especially sintering, the material was initially not suitable for single-visit dentistry. This changed with the availability of zirconia variants with shortened sintering times and special high-speed sintering furnaces.
The CONELOG PROGRESSIVE-LINE Implants make it easier to implement modern treatment concepts such as immediate restorations or immediate loading.
Dental amalgam has been used for the restoration of Class I and Class II cavities for many years. However, concerns about its lack of aesthetics, health and environmental issues have led to an increase in demand for tooth coloured restorations in the posterior region. Resin composite offers the opportunity for clinicians to provide both aesthetic and conservative restorations that are sealed to the underlying tooth.
3D printing is great. A fun and exciting process, something futuristic that’s happening in the present, with great return on investment and optimized protocols - it’s the perfect entry to the CAM part of digital dentistry without breaking the bank.
Explore the unique benefits of Morita's TorqTech handpiece range, including the Torqtech Ultra mini Contra-angle, which is ideal for treating patients with limited Jaw mobility or children with small oral cavities. Click the article to read more!
Explore the range of Hu-Friedy Instruments designed to provide total solutions for your Atraumatic Extractions
Henry Schein will showcase a selection of its comprehensive solutions portfolio and innovative products at in ADX 2024, organised by Australian Dental Industry Association (ADIA). The event will take place from 21 – 23 March 2024, at the International Convention Centre, in Sydney, Australia.
Henry Schein, the world’s largest provider of health care solutions to office-based dental and medical practitioners, has received the 2024 World’s Most Ethical Companies® recognition by Ethisphere, a global leader in defining and advancing the standards of ethical business practices.
In Australia, there are a number of cloud practice management software solutions for dentists to choose from. But what is cloud and what should you be looking for when choosing the best dental software for your practice?
Dental anxiety is thought to affect at least 48% of the UK population to varying degrees. For patients, this can lead to treatment avoidance, unchecked disease progression, and adverse oral health outcomes. For dentists, according to a recent Septodont survey, it disrupts schedules, costs time and money, and impacts job satisfaction.
As part of a local team of practicing and former dental service technicians (including founder Bill Clark), we at Cattani Australasia completely understand the risks of infection exposure when it comes to dental suction systems.
With our commitment and promise to be your trusted business partner and the adage that we stand for in Rely on Us for your dental needs – we introduce you to the new Endodontic LookBook – the ELB.
The Lookbook showcases a selection of interviews, articles, 360° practice tour videos and testimonials from dentists, specialists and key opinion leaders utilising cutting edge technologies & advanced techniques in dentistry.
Dental handpieces are a costly investment and every dental practice could benefit from having a simplified protocol to ensure the proper care and maintenance of their handpiece inventory.
Batch control identification is a mandatory requirement when sterilising critical items that are used between patients. This is a legal requirement in the event a patient makes claims about inadequate instrument reprocessing in the practice. Together with batch control of instruments we must also keep our steriliser cycle record book. This is best kept in hard copy.
Understanding barriers to self-care is a crucial aspect of our job that is inherent in the biopsychosocial model that we practice. Whether we see patients six-monthly or six-yearly, the key to their oral health lies in habits built and sustained at home. In an ideal world, we exist primarily to complement those regimes and need to do so with empathy and understanding.
The clear and concise Procodile system is comprised of 4 main sequences for narrow, medium and wide canals. Each sequence contains a small selection of files for an easier choice and greater clarity. For perfect obturations, we provide matching paper and gutta-percha points.
Ensure all instruments and cassettes are dry before packaging for sterilisation. After cleaning, critical and semicritical instruments should be inspected for remaining debris.
CERASMART™ 270 offers the modern busy practice a truly fast, effective milling solution with flexibility in clinical applications. CERASMART™ 270 provides improved strength, more natural aesthetics and fluorescence, higher radiopacity affording both clinicians and patients a no-compromise quality outcome, making it the perfect choice for inlay, onlay and implant restorations.
Henry Schein has been offering the endodontic solutions portfolio of EdgeEndo®, one of the world’s largest NiTi rotary file suppliers, successfully for two years and has just enlarged this range by EdgeFile® X7, the number one selling EdgeEndo® NiTi system in the United States.
Reliable adhesive cementation of zirconia 10-Methacryloyloxydecyl Dihydrogen Phosphate is a bit of a tongue-twister for anyone who is not a chemist by profession, so in everyday communication, this adhesive monomer is referred to by the three initial letters: MDP. MDP is indispensable in the dentistry business. For example, reliable adhesive cementation of zirconia restorations would not be possible without MDP. This adhesive monomer was developed by Kuraray Noritake Dental in 1981.
In the current climate we know how important it is to ensure clean surfaces, especially those that are frequently contaminated. Cleaning with a neutral detergent removes bioburden from surfaces, it also assists with breaking down proteins and has better cleaning capabilities than alcohol for example. Using something like an alcohol wipe alone will harden proteins and If you’ve ever used alcohol on blood you will know how blood can harden and become very difficult to remove.
To understand the nature of pain and treat it effectively, let’s look at the physical, emotional and psychological factors that determine how it is experienced by individuals. The way an individual perceives pain is the result of both physiological and physical factors. Pain is one of the body’s most important ways of communicating, and the way each person processes pain involves complex neural phenomena. Nerve cells detect potentially damaging stimuli and send a signal to the brain, which assesses the threat and coordinates a response.
Practice Pink is an initiative of Henry Schein Cares, the Company’s global corporate social responsibility program. Through Practice Pink, Henry Schein, together with non-governmental organizations and supplier partners across North America and Europe, is helping dental and medical health care professionals raise awareness and support for a cure for breast cancer and other cancers.
Chairman and CEO Stanley M. Bergman Named Executive of the Year for Diversity and Inclusion; Global Practice Green™ Initiative Recognized
A recurring problem for dental practices is low treatment acceptance. At your practice, you’re likely familiar with scenarios where a patient needs urgent treatment but may not go ahead with it because of the high cost. As professionals, this can be frustrating for you because you want the best for your patients. And, low treatment acceptance ultimately means lower income and profits for your practice.
According to a recent survey by Septodont, one of the more challenging day-to-day experiences for a dentist is the inquisitive patient. Too long spent answering questions means that appointments run over, other patients are kept waiting, and schedules are thrown into chaos. During the pandemic, with schedules – and budgets – stretched to breaking point, this presents even more of a challenge. When every minute counts, we discuss how dentists can keep their inquisitive patients satisfied and their schedules running smoothly.
Fibres are the only way to make large direct restorations with good mechanical properties and durability. Other durable strong materials, such as zirconia and metal can only be made indirectly, outside the mouth. This way we can provide more affordable restorations and allow a larger patient group to be treated.
In our day to day lives, we are increasingly bombarded by ‘marketing’ noise and messaging as to the best solutions to benefit our day-to-day routines, and for dentistry how to run our dental practice effectively. Whether that’s details about the latest chair, PPE, imaging, tools – along with a whole array of software platforms, from finance to marketing to practice management workflows.
KaVo has always blazed the trail in ergonomics and comfort. KaVo products were developed from an ergonomic point of view as far back as the early 20th century. In 1965 came the ergonomic revolution: a patient chair with a completely new lying position helps dentists maintain a healthy, strain-free posture for the first time.
5 Answers About Using Indicators & Monitoring Your Statim Thousands of dental offices and dozens of jurisdictions means each dental team will have a variation on the process it follows to sterilise instruments in accordance with AS/NZS 4815. What they all have in common is a need to verify the process is working. If you’re using a STATIM cassette steriliser, things are a little simpler. Since it’s an S Cycle steriliser using steam flush pressure pulses, you will only need to follow two simple steps: First, check cycle data to confirm that the unit is functioning correctly. Second, make sure the external Class 1 chemical indicators show a pass result.
Henry Schein Releases 2022 Sustainability and Corporate Social Responsibility Report, Demonstrating Company’s Commitment to ‘Delivering Solutions for a Healthier Tomorrow’ Henry Schein, Inc. (Nasdaq: HSIC), the world’s largest provider of health care solutions to office-based dental and medical practitioners, today announced the publication of its 2022 Sustainability and Corporate Social Responsibility (CSR) Report, titled “Delivering Solutions for a Healthier Tomorrow.”
No-shows are a common nuisance to dentistry practices - surveys show they can add up to 10% of all appointments!1 No-shows happen when patients don’t come to their scheduled appointments, without notifying staff or cancelling. This phenomenon hurts both clinical practices and patients, through many negative impacts. So let’s see how you can identify high-risk patients and greatly minimize missed appointments.
Ansell’s Worker Experience Innovation (WEI) program transforms insights from workers’ day-to-day encounters and challenges into new WEI technologies and product ideas for the dental industry.
As dental professionals one of the greatest dental concerns our patients report when they sit in our chair is experiencing sensitive teeth. Learning how to help our patients manage this condition ultimately helps us improve their dental health, well-being and quality of life. From my own clinical experience, I share my top tips to help you manage dentinal hypersensitivity in your patients.
When instrumenting, endodontic files are always exposed to mechanical forces such as friction resistance and/or clamping force in the root canal, which act on the file as torque during rotary preparation. This resistance counteracts the drive torque of the endomotor and can cause the file to twist (torsion). Under certain conditions (torsion strength and frequency of repetition) this may cause the file to break.
GuttaFlow bioseal is a state-of-the-art obturation material used for sealing and filling root canals. Hydroxylapatite crystals are formed on contact with the body’s own fluids. These in turn are natural components of bone and tooth tissue and support the healing process. This helps ENDO experts as well as beginners to create a lasting solution for their patients.
BioHorizons Camlog combines two families of implant solutions with proven track records in the demanding markets of America and Europe.
In July 2021, Kuraray Noritake Dental Inc. introduced KATANA™ Zirconia YML (yttria multi-layered). With KATANA™ Zirconia UTML, STML, and HTML PLUS already available, it is the fourth multi-layered zirconia in the company’s portfolio – and for dental technicians striving for simplification and standardization, it is the only zirconia they will need.
Many patients complain of having a dry mouth (xerostomia), and are seeking all relief for this problem, but equally important, many dental patients suffer from reduced production of saliva at rest (i.e. between meals) and are not aware that they have lost the natural protection provided by saliva.
Esthetic treatment of severely damaged teeth (i.e. over 50% loss of tooth structure) for crown and bridge work in the anterior region requires tooth-coloured materials and a post to improve the retention of the core build up.
Understanding barriers to self-care is a crucial aspect of our job that is inherent in the biopsychosocial model that we practice.
Discolourations on smooth surfaces can have a number of causes. Whether dealing with incipient caries, fluorosis or trauma - there's a simple, gentle treatment option: Infiltration treatment with Icon smooth surface. For a healthy, beautiful smile. Quick, easy and gentle.
Pola Rapid is an advanced in-office tooth whitening system, featuring a 38% hydrogen peroxide formulation with a 24-minute application time.
What would the quality of adhesive dentistry be if Kuraray Noritake had not developed the MDP monomer in 1981? MDP has proved to be a very effective functional monomer for creating durable bonding to enamel, dentine and metals. The best-known products containing MDP are CLEARFIL™ SE BOND and PANAVIA™.
Due to its increased usability, one-step universal adhesives are becoming more popular and the choice of many clinicians all around the world. Nonetheless, some studies have shown a lower performance than previous generations. Jorge Espigares, DDS, PhD, Planning and Development Department at Kuraray Noritake Dental, interviewed Tomohiro Takagaki, DDS, PhD, lecturer and former assistant professor at Tokyo Medical and Dental University (TMDU), pioneer in the field adhesive dentistry, author of many publications and currently lecturer at Asahi University
The Government is increasing the instant asset write-off threshold from $30,000 to $150,000 and expanding access to include businesses with aggregated annual turnover of less than $500 million (up from $50 million) until 30 June 2020.
To declare at the outset, I’m a gadget guy, I routinely converse with Siri and Alexa, I swoon over shiny new Mac’s and the iPhone and watch combination never leave my side. Don’t miss-read me, I value my down time, all work and social media is no way to live; but toss those CD’s...
Crestal bone stability around dental implants remains one of the most important and wanted features of successful implant treatment. Besides major clinical advantages to the patient, stable marginal bone provides us, the...
Around 75% of the worlds population has no access to even the most basic emergency dental care. In Tanzania, there are only 495 dental professionals for a population of 55 million people!
|